
【症状体征】
1、亚急性或慢性起病,表现偏瘫、感觉异常、视野缺损及其他脑局灶体征,脑神经麻痹、共济失调和脊髓病变较少见,随着病灶数量增加可出现痴呆。
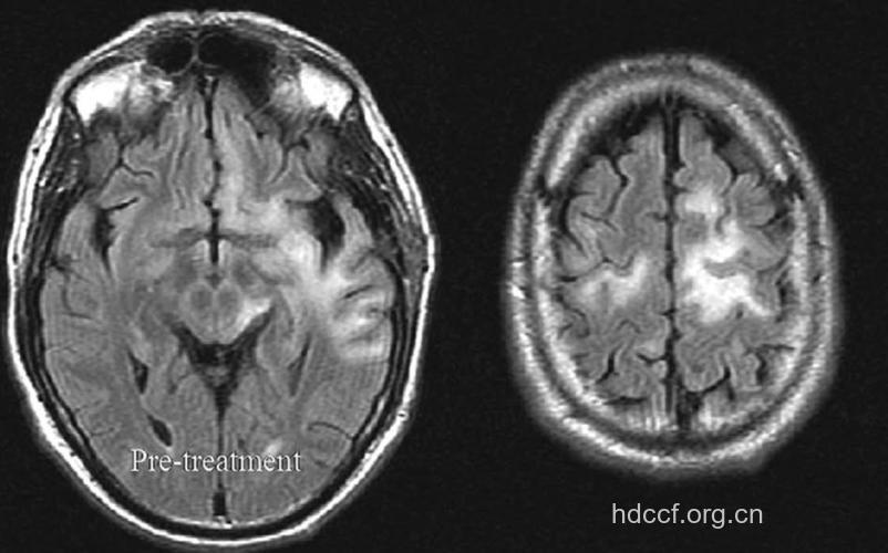
2、CSF检查正常;EEG显示特异的弥漫性或局灶性慢波。CT可见白质内多灶性低密度曲,无增强效应;MRI可见T2均质高信号、T1低或等信号。
【诊断】
1.确诊原发疾病
常见的有慢性淋巴细胞白血病、淋巴肉瘤、急性或慢性粒细胞性白血病、多发性骨髓瘤,以及其它脏器癌瘤和真性红细胞增多症等。
2.在原发疾病持续较长时间后发生神经症状。临床表现因受累部位而异。可有偏瘫、四肢瘫、失语、共济失调、感觉障碍、视力障碍、智能减退和痴呆、意识障碍和抽搐等。
3.脑脊液正常。
4.排除了其它疾病和癌瘤直接转移。