
糖尿病是一种全身性疾病,所谓“全身性”,就是说各个器官都可能受牵连,口腔也不例外。最听到的就是糖尿病患者容易罹患牙周炎,但是你知道吗,除了牙周炎外,糖尿病容易感染的口腔疾病还有很多。
口腔里的细菌比大肠里的还要多,糖尿病患者的免疫力不平衡,本来的“良民”就会“滋事”,引发感染。其中最常见的5类疾病包括:
1、口腔真菌感染。
多为念珠菌感染,表现是嘴里出现白膜、红斑、口角炎。普通人此病的患病率是8%,而糖尿病人达到16%。
2、颌面部软组织感染。
主要是细菌感染,导致局部蜂窝组织炎,表现为红、肿、热、痛,全身则有发烧。
3、龋病。
研究发现,糖尿病患者的唾液量明显减少,对口腔的清洁作用减弱。并且,唾液的酸度增加,这种环境非常利于致龋菌的生长。
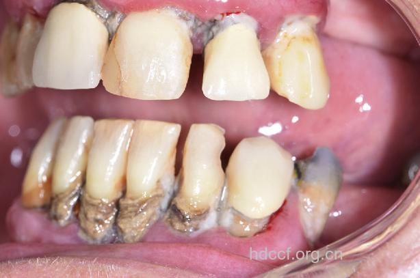
4、牙周炎。
最多见的症状是牙龈出血,时间长了,牙齿会松动。一般来说,如果不积极治疗,10年左右牙齿就会掉。研究表明,糖尿病人患重度牙周炎的风险比一般人高8、5倍,且缺失牙的风险高2倍。
5、糜烂性扁平苔藓。
这个病是仅次于复发性口腔溃疡的口腔黏膜病,表现为口腔黏膜网状白纹、发红,有的病人有黏膜糜烂,因此引发疼痛。此病不会像复发性口腔溃疡能自愈,往往持续时间长。由于口腔内长期存在创面,有癌变的可能。
专家提醒:口腔内感染如果不治疗,会加重糖尿病;反过来,要治疗口腔疾病,必须在控制血糖的基础上,才能取得好的效果。可见,口腔健康和糖尿病是相互影响的,糖尿病人必须经常检查口腔,发现问题及时寻求治疗。