
临床上分为原发性和继发性淀粉样变两种。前者无基础病因,后者常继发于慢性炎症或感染性疾病(如结核、骨髓炎、支气管扩张、肺脓肿等)、肿瘤(多发性骨髓瘤、何杰金病等),少数见于遗传性家族性疾病(如家族性地中海热)。
目前多以免疫组化特点分类,原发性淀粉样变和多发性骨髓瘤所致的淀粉样蛋白为AL淀粉样蛋白,继发性淀粉样变则为AA蛋白。淀粉样物质可在体内各器官和组织的血管壁内沉积,产生多器官病变,肾脏是最常见的受累器官。这种由淀粉样物质沉积在肾脏引起的肾脏病变。称为肾淀粉样变性。
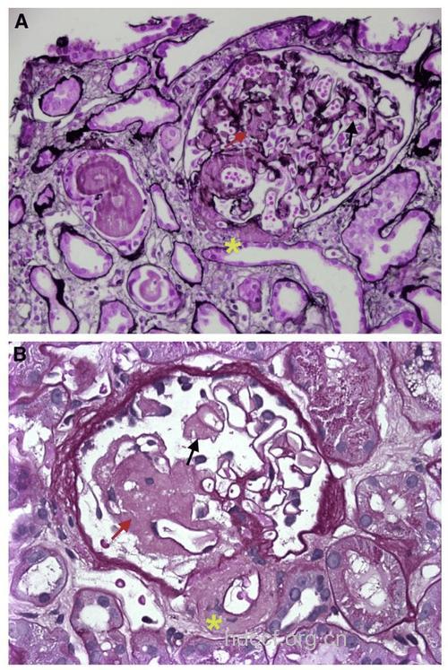
本病的确诊有赖于肾活检或病损处的皮肤活检。患者的肾组织改变为:镜下肾小球毛细血管内或系膜区呈广泛的透明样变伴毛细血管基膜增厚,有特异的团块状淀粉样物质沉积。电镜下可见淀粉样纤维沉积。免疫荧光检查可见IgA、Cl、C2、C4纤维蛋白在毛细血管壁系膜区及间质小动脉和肾小管壁沉积。刚果红试验阳性;高锰酸钾试验有助于鉴别AL或是AA。