
MRI无放射性辐射,可从多个方位进行成像。新型的MRI已经克服了早期成像速度太慢的缺点,场强提高到1.5~2.0T,使得多种新的成像技术如梯度回波序列及波谱分析等得以实现。
超声为非侵入性检查,对人体组织无任何不良影响,其检查操作简单、直观准确、费用低廉,常常用于肝癌的早期发现和诊断。
超声为非侵入性检查,对人体组织无任何不良影响,其检查操作简单、直观准确、费用低廉,常常用于肝癌的早期发现和诊断。超声检查结果容易受到检查者经验和细致程度的限制,有经验的超声医师使用先进超声诊断仪能发现1cm以下的病灶,但表现为等回声,位于肝膈顶部和肋骨下的较小肿瘤则容易被漏检。超声诊断用于肝癌与肝囊肿和肝血管瘤的鉴别诊断较有参考价值,而术中超声直接在开腹后的肝脏表面探查,避免了超声衰减和腹壁、肋骨的干扰,可发现术前CT、超声皆未发现的肝内病灶。在肝癌的瘤内无水酒精注射术、射频消融术、微波固化术中,采用超声引导操作简单、耗时少、费用低,更重要的是能实时地监测整个治疗过程,大大保证了穿剌和治疗的安全,是目前最常用的影像学介导方法。
MRI无放射性辐射,可从多个方位进行成像。新型的MRI已经克服了早期成像速度太慢的缺点,场强提高到1.5~2.0T,使得多种新的成像技术如梯度回波序列及波谱分析等得以实现,加上肝细胞特异性造影剂的应用,对小肝癌的检出率大大提高,小于1cm的病灶检出率为55%,1~2cm为70%,2~3cm达82%。MRI能清晰显示肝内血管和胆管结构,对了解肿瘤与肝内血管胆管的关系有很大帮助。MRI还能较好地显示肝脏和肝癌组织的内部结构,对评估各种治疗疗效很有帮助,如经皮瘤内酒精注射术、射频消融术或微波固化术后,肿瘤坏死在T2期显示为均匀的低信号,如果肿瘤内部信号不均匀,则常常提示治疗后坏死不完全。MRI易于发现位于肝表面CT难以检测到的小肝癌,对肝内小转移灶的敏感性亦颇高,但肝左叶边缘受心脏及主动脉搏动的影响而小肝癌检出率与CT相差不大。
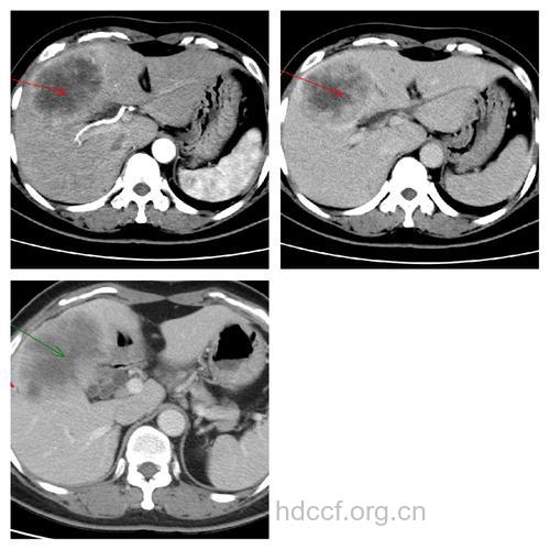
CT的出现使肝癌影像学诊断有了一个质的飞跃,并带动了肝脏外科的进步。CT的分辩率远远高于超声,图像更加清晰和稳定,更能全面客观地反映肝癌的特性。CT检查可清楚地显示肝癌的大小、数目、形态、部位、边界、肿瘤血供丰富程度,以及与肝内管道的关系;对门静脉、肝静脉和下腔静脉是否有癌栓,肝门和腹腔淋巴结是否有转移,肝癌是否侵犯邻近组织器官都有很重要的诊断价值;CT还可通过显示肝脏的外形、脾脏的大小以及有无腹水来判断肝硬化的轻重。快速螺旋CT能在一次屏气(20s左右)即可完成整个肝脏的扫描,可避免呼吸运动所致层面的上下移动而漏扫微小病灶,还可克服呼吸运动产生的伪影问题。螺旋CT最小可用1mm的层厚进行薄层扫描,对1~3cm的小肝癌检出率可达90%,并能在螺旋扫描的长度内实施高质量的三维图像重建。对增强CT难以作出明确诊断的肝癌,还可进一步采用血管造影CT。经皮导管在肝动脉注入造影剂,观察肝动脉显影时的CT,称CT血管造影。
面对众多不断发展的影像学方法,临床医师应从临床诊断需要来选择合适的影像学检查手段。超声费用低廉且普及,可用于肝癌的普查和治疗后随访;CT图象清晰稳定,用于肝癌常规诊断检查和治疗后的随访检查;与同一代的CT比较,MRI的图象清晰度还不令人满意,但MRI对肝内小病灶的检出、血管的情况以及肿瘤内结构的显示有独特之处,可作为CT检查的补充。