
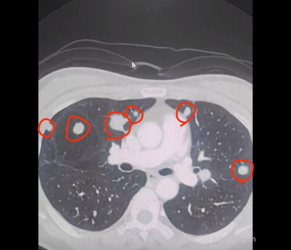
肺转移瘤由身体其他部位的恶性肿瘤转移而来,可以是血行播散、淋巴道转移或邻近器官直接侵犯。多见于绒毛膜癌、乳腺癌;还见于恶性软组织肿瘤、肝癌、骨肉瘤和胰腺癌;也见于甲状腺癌、肾癌、前列腺癌和肾胚胎癌等。
血行转移最为常见,是肿瘤细胞经腔静脉回流到右心而转移到肺。瘤栓到达肺小动脉及毛细血管后,浸润并穿过血管壁,在周围间质及肺泡内生长,形成肺转移瘤。淋巴道转移由血行转移至肺小动脉及毛细血管床,穿过血管壁侵入支气管血管周围淋巴结,癌瘤在淋巴管内增殖,形成多发的小结节病灶,通过淋巴管在肺内播散。肿瘤向肺内直接转移的原发病变为胸膜、胸壁及纵隔的恶性肿瘤。
1.常见症状
多数有原发癌的症状。肺转移瘤早期无明显的呼吸道症状。病变广泛时,可出现干咳、血痰和呼吸困难。并发癌性淋巴管炎、大量胸腔积液、肺不张或上腔静脉压迫时,呼吸困难明显。继发感染时有发热。肺性肥大性骨关节病和杵状指少见。转移性鳞癌,可形成不典型的癌性空洞。生长较慢的转移性乳腺癌,可形成弥漫性肺纤维化。
肺转移瘤早期呼吸道症状轻或无。在常规X线检查,或在根治性手术或放疗后6个月到3年间复发时被发现。转移发生在肺间质,为孤立性结节时,多无临床症状;转移灶位于支气管内膜,可出现呼吸道症状。有肋骨转移者,临床常出现胸痛;支气管黏膜受侵犯可出现小量咯血,绒膜癌肺转移可发生大咯血。转移瘤侵犯胸膜、主支气管或邻近结构时,可出现咳嗽、痰中带血丝、胸痛、胸闷、气急等。伴纵隔转移时,可表现为音哑、上腔静脉综合征、膈麻痹及食管或气管压迫症状。肿瘤偶可引起急性肺栓塞,表现为进行性呼吸困难。
2.脓胸
受肿瘤的影响,患者免疫力低下,容易被感染。胸膜腔受致病菌感染则形成脓胸,出现胸痛、呼吸急促、发热、脉快、食欲不振、全身不适等症状。
3.心律失常
临床表现为一种突然发生的规律或不规律的心悸、胸痛、眩晕、心前区不适感、憋闷、气急、手足发凉、晕厥,甚至神志不清。少数患者可无症状,仅有心电图改变。
目前标准的治疗手段是多发性肺转移瘤切除术。如果没有其他部位的转移,手术切除可以达到根治的效果。许多肿瘤对于化学治疗和放射治疗均不敏感,如软组织肉瘤肺转移,手术是最重要的治疗手段。患者术后5年生存率预计超过三分之一。
对少数病例肺部仅有单个转移结节,或虽有几个转移灶但均属限于一个肺叶或一侧肺内,原发肿瘤经治疗后已得到控制,无局部复发,身体其他部位未发现转移病灶,全身情况好,应考虑手术治疗。肺切除术的范围应尽量保守,仅作楔形、肺段或肺叶切除术。术后按肿瘤的病理诊断给予抗肿瘤药物治疗。有的病例术后数月或数年肺部又出现新的孤立性转移病灶,只要其他器官组织仍无转移则可再次作肺切除术。
外科治疗不适合两侧肺出现广泛转移的患者。
肺转移瘤切除术后患者肺结节数量少,有较长的无瘤生存期。不同恶性肿瘤的肺转移瘤表现不一,生存期也不相同。最重要的预后指标是肺转移瘤完全切除。如果转移病灶能够全部切除,避免并发症发生,尽量保留肺组织,那么就能获得长期缓解和生存。