
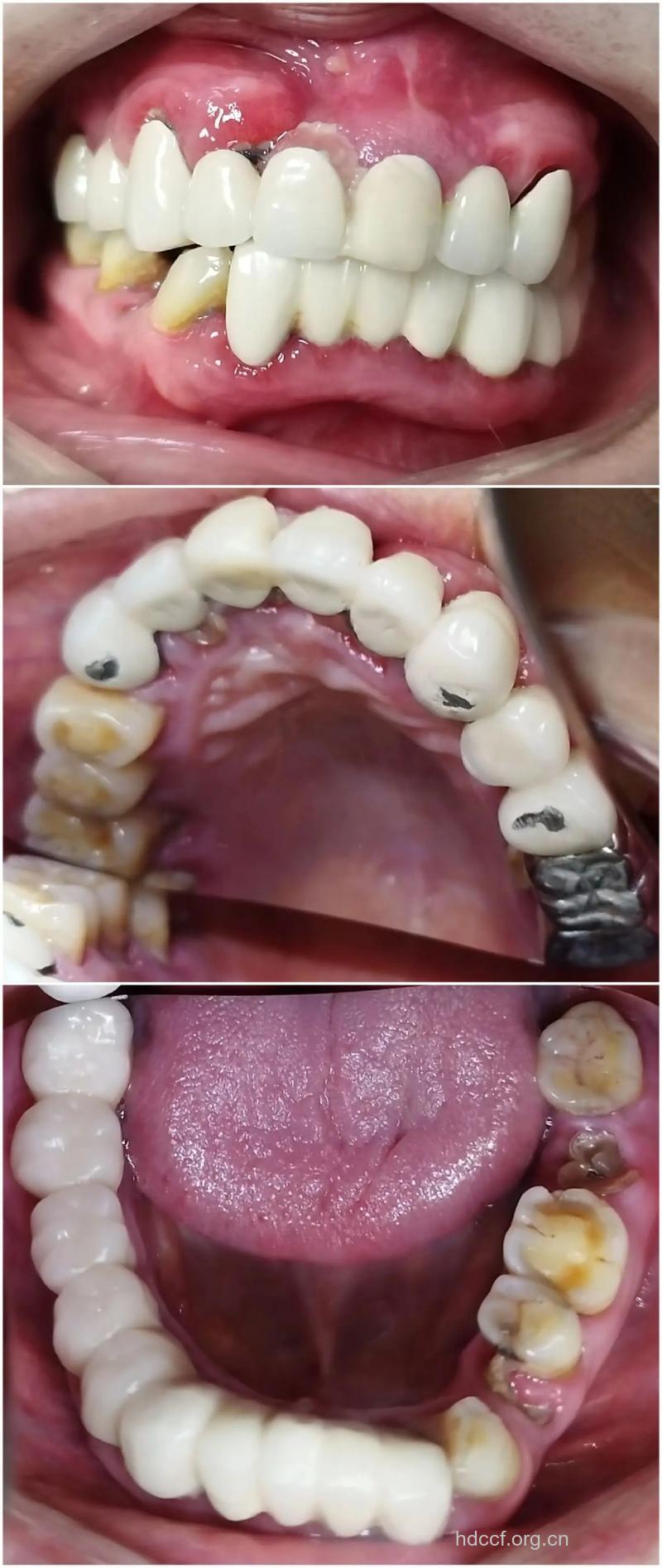
由于瓷质修复体发展迅猛,总是会产生各种不良后果,目前这些不良后果正逐渐呈现出来,并且有扩大化的倾向。下面跟大家讲解下,做烤瓷牙后产生哪些不良后果:
1、 形态不理想
原因:修复体制作错误;牙齿本身形态位置条件不好。
处理:重新设计制作或者磨改。
2、咀嚼不良
原因:固位体设计错误;修复体有咬合高点;过敏、导电、粘接材料等引起牙髓刺激反应;修复体制作不精密引起牙周、牙髓反应。
处理:除了咬合高点等少数病例,一般必须重新制作。
3、 崩瓷(烤瓷牙瓷质层和金属层分离,暴露出内层的金属颜色)
原因:修复体制作不精密;修复体设计不合理;咬合力过大。
处理:重新制作。
4、烤瓷牙脱落
原因:固位力设计错误;修复体制作不精密;粘接不佳;咬合力过大等。
处理:重新粘结或者重新设计和制作。
5、色泽欠佳
原因:修复体制作设计错误,瓷质层太薄;比色失误,颜色没有选择正确;金属烤瓷牙本身存在的缺陷。
处理:重新制作。
6、 连同牙齿一起断裂
原因:修复体制作不精密;修复体制作设计错误;咬合力过大。
处理:重新设计制作。
7、 牙龈着色
原因:修复体制作不精密;金属烤瓷牙本身存在的缺陷(牙颈部设计肩台瓷,金属离子游离,沉积到牙龈)。
处理:重新制作。
8、牙龈牙周病变(牙龈出血、牙齿松动等)
原因:修复体制作不精密;过敏;口腔清洁不好。
处理:牙周常规治疗并重新制作修复体。
做烤瓷牙,能够使得要吃洁白,给别人留下非常良好的印象,但是,现在烤瓷牙业的发展的程度不一样,所以,专家给大家的温馨提醒,就是要去整过的医院做烤瓷牙,才能够尽量避免烤瓷牙后产生的一系列不良后果。