
牛皮癣病理 少数病人有脓疱性损害或关节炎症状,或是全身皮肤发红脱屑而呈红皮症。
牛皮癣可发生于任何部位,特别常见于经常遭受外压摩擦的部位如肘膝背侧、四肢伸侧、骶骨部位附近及头皮等处,两侧往往多多少少地对称。
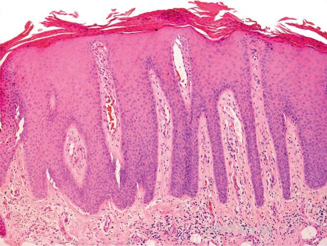
表皮的胶质层细胞不能完全成熟,成为角化不全的细胞,细胞束之间有充着空气的间隙。临床上所见鳞屑为银白色云母状,就是由于含空气的角化不全角质层折射光线的缘故。在角化不全角质层内或其下方。常可见到细胞已被破坏的嗜中性粒细胞群。这些成群的白细胞同一些变性的表皮细胞混住一起,成为微小脓肿,称为门罗微脓肿,是牛皮癣病理特征之一,但门罗微脓肿也可出现于脂溢性皮炎、连续性肢端皮炎、脓性卡他角化病。
在角化不全的细胞下方,颗粒层细胞很少,或是完全消失。棘细胞层发生细胞间水肿但无水疱形成。在细胞间隙内往往有些零散的形体不完整的白细胞,表皮突因水肿而延长,长度皆差不多。
在真皮内,浅层的血管周围有细胞浸润,主要为淋巴细胞。尤其特殊的,乳头的顶端水肿及胀大而成杵状,深深地嵌入表皮层而接近皮肤表面的角质层,因此,在临床上,将鳞屑剥离时,很容易将乳头露出,并易损伤乳头的血管而引起出血小点。真皮的胶原、弹力及网状纤维都有一定程度的变性。
脓疱性银悄病与连续性肢端皮炎及疱疹样脓疱病的组织变化相同,皆有海绵状科戈介(Kogoj)微脓肿。由于水肿的表皮细胞破裂,细胞壁连成海绵状,真皮的中性粒细胞游走到海绵状疱腔内,成为海绵状脓肿,也就是科戈介微脓肿,容易出现于表皮的上部。当脓肿随表皮细胞推进到角质层时,且成为较大的门罗脓肿。
其他变化如角化不全、表皮突网嵴延长、真皮浅部有细胞浸润等变化和寻常牛皮癣的组织变化基本相似。有的嗜中性粒细胞侵入表皮内。