慢性肺脓肿有哪些症状表现

发布时间:2026-03-08 17:25

慢性肺脓肿有哪些症状表现

[病因病理]

在急性肺脓肿时期未及时控制感染,使肺部的炎症和坏死空洞迁延发展到慢性阶段而成。

[临床表现]

有慢性咳嗽,咯脓血痰,体质消耗,可见杵状指(趾)。

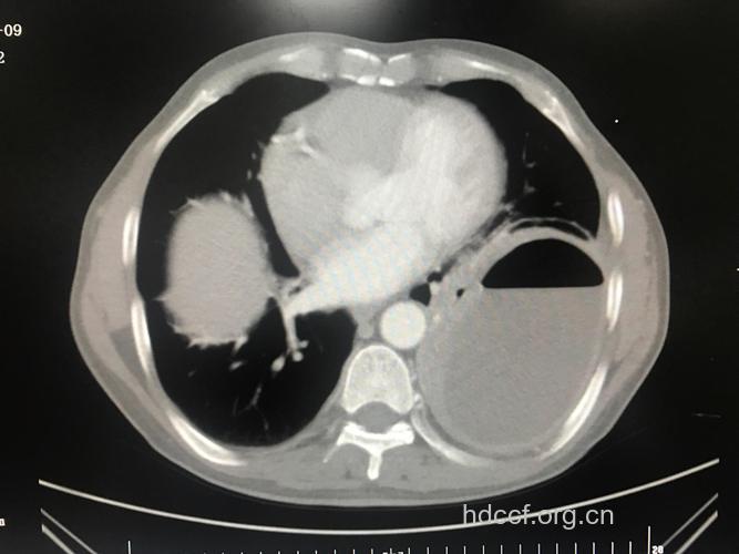
[影像学表现]

1.主要呈空洞病变,多有液平。内外壁界限清楚,并有较长的纤维索条通向四周。

2.同时有肺部慢性炎症、新的播散病灶、肺部纤维化或团块状致密阴影。

3.并发脓胸、脓气胸。

内科相关文章

惠济医典
可能您想看的
热门标签