
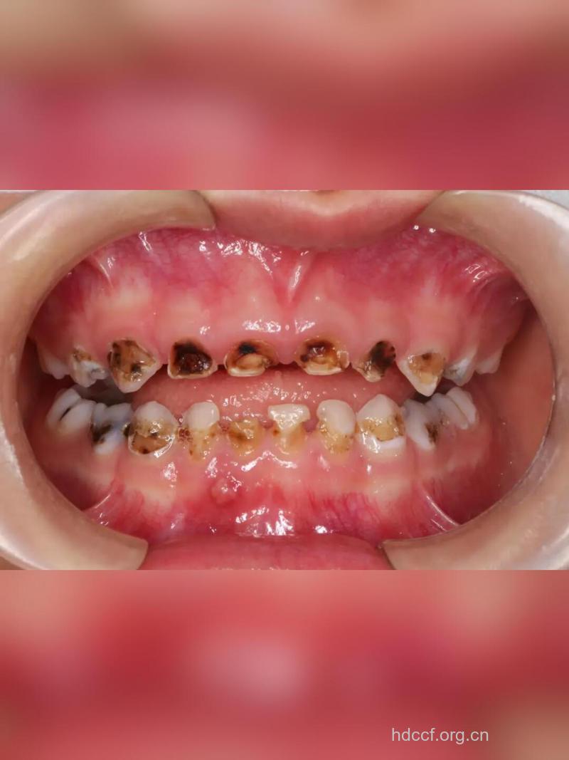
婴幼儿喂养龋是严重危害乳牙列的严重破坏性疾病,这一疾病又是如何发生的呢?最近,北京大学口腔医学院专项调查发现,儿童喂养方式、饮食习惯和口腔卫生习惯与“喂养龋”密切相关。
乳牙龋齿已经成为影响我国儿童健康的主要疾病之一,第二次全国口腔流行病学调查表明,5岁儿童的患龋率为76.55%。随着生活水平的提高,乳牙的患龋率还有逐年上升趋势。
为研究喂养龋在我国学龄前儿童中的患病情况,探讨其易感因素,北京大学口腔医学院硕士生徐征在导师邓教授指导下在对北京市8所幼儿园408名1~4岁儿童,展开家庭环境、全身健康状况、饮食习惯及口腔卫生习惯等项调查,分析导致喂养龋发生的主要和可能的危险因素。
结果显示40.19%,其中男孩为45.07%,女孩为34.87%。研究发现,婴儿睡觉前使用奶瓶易患喂养龋(因奶瓶内多为奶加糖或纯奶),喂养龋患病率随年龄增加而增加;母亲受教育的程度越低,母乳喂养时间越长,孩子刷牙次数越少,喂养龋越高;每天饮用含糖饮料的次数多和刷牙的次数少等均会导致喂养龋发生。这些危险因素可以从一个或多个方面不同程度地导致喂养龋的发生和发展。
研究人员由此建议,掌握正确的母乳喂养和奶瓶喂养方法,做到婴儿出生后定期清洁口腔,萌牙后开始刷牙;早期进行专业口腔检查,半岁到一岁之间为宜;对龋齿高危儿童可以适量用氟。