
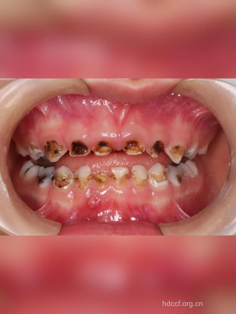
龋齿是多发生于青少年的,发生龋齿对患者造成的危害是比较多的,很多人不了解该病,所以也不知道怎么治疗。只有了解龋齿的种类,才能进行有效的针对性治疗。现在小编就为各位朋友详细介绍一下龋齿的症状表现。
临床无症状。牙釉质表面有白垩色或黄褐色斑点,探诊时表面粗糙、变软、无明显缺损或牙釉质和牙骨质内有浅缺损,或窝沟内有着色、变软,探诊时可卡住探针;或暴露的根面牙骨质有表浅而广泛的着色,探诊时粗糙、变软。位于邻面的平滑面浅龋,X线片示牙釉质部位X线透射影像;位于邻面的牙骨质龋,X线片示患部边缘模糊,根管两侧牙本质和牙骨质的宽度不等,有龋侧变窄。
临床多有对冷、热、甜、酸,特别是对甜、酸化学刺激一过性敏感的症状。检查时可见龋洞,腐质去尽后,窝洞底位于牙本质浅层。磨牙邻面的中龋,X线片示龋洞部位有达牙本质浅层的X线透射影像。
临床有对冷、热,特别是对冷刺激一过性敏感的症状。检查时可见较深龋洞,腐质去尽后,窝洞底位于牙本质深层。X线片示龋洞深度为近髓腔的X线透射影像(颊、舌面龋无参考价值)。
有中龋、深龋的特点,及龋损着色浅,质湿软,易被挖匙除去等特点。
有急性龋的特点。此外龋损发生在大多数牙齿及牙面,甚至涉及可以自洁的牙面。患者多有全身疾病,如长期慢性病,或并发唾液分泌减少疾病(因头颈部放射治疗后引发的猖獗性龋又称为放射性龋)。
有浅龋、中龋、深龋的特点外,还具有龋损色深、腐质干硬、不易被挖匙除去的特点。
多见于磨牙牙合面或无邻牙的邻面。病损呈棕褐色,无缺损或呈浅碟状,探诊质硬。
患牙曾有过牙体修复。洞缘着色或墨浸状,探诊质软或有裂隙。继发龋发生于洞底时,X线片示充填体与洞底间有X线透射影像。又可分为继发龋浅龋、继发龋中龋、继发龋深龋、继发龋牙髓治疗后、继发龋伴牙髓病、继发龋伴根尖周病等。
原有的龋齿已完善修复治疗。牙齿与修复体无关的部位发生龋坏。也可与继发龋相同分为再发龋浅龋、再发龋中龋、再发龋牙髓治疗后等。
最实际有效的办法是刷牙和漱口,尽可能做到每次饭后都要漱口,早晚各刷牙一次。小儿可由家长用柔软毛巾或绒布擦洗牙齿。3岁以上的幼儿则可以自己试着刷牙。
家长应教育儿童养成少吃零食和甜食的习惯,尤其是睡前,要注意儿童三餐的合理搭配,养成儿童多吃蔬菜、水果和富含钙、磷、维生素食物的习惯。此外,还要重视婴儿的母乳喂养。
主要是通过氟化法增加牙齿中的氟素,特别是改变釉质表面的结构,以增强牙齿的抗龋性。目前被认为效果较好的氟化方法有:自来水氟化、学校饮水氟化、牙面涂氟、含氟牙膏刷牙、氟溶液漱口等。且任何氟化防龋方法,都只能用于水源无氟或低氟区,而在高氟区则不能使用。此外,有氟斑牙的儿童也不应使用氟化方法。