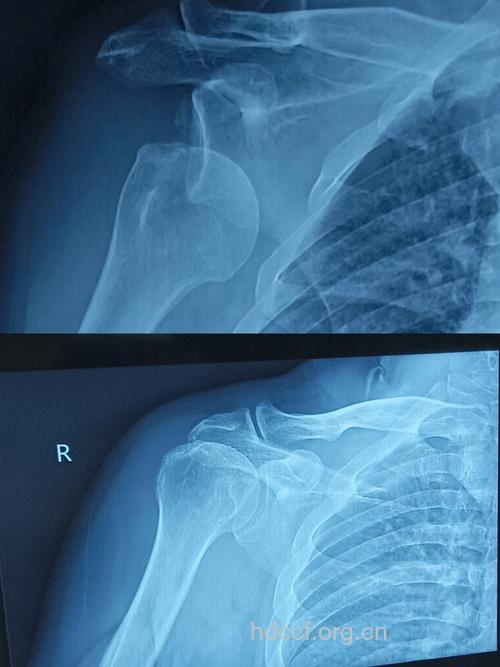
肩关节脱臼的X光片

发布时间:2026-03-12 08:26

肩关节脱臼的X光片

1.肩关节前脱位:

1.肩关节前脱位:最多见。其中以喙突下脱位尤为常见。正位片可见肱骨头与肩盂和肩胛颈重叠,位于喙突下0.5cm-1.0cm 处。肱骨头呈外旋位,肱骨干轻度外展。肱骨头锁骨下脱位和盂下脱位较少见。 2.肩关节后脱位:少见。值得注意的是正位片肱骨头与肩盂的对位关系尚好,关节间隙存在,极易漏诊。只有在侧位片或腋位片才能显示肱骨头向后脱出,位于肩盂后方。 3.肩关节半脱位:关节间隙上宽下窄。肱骨头下移,尚有一半的肱骨头对向肩盂。

骨科相关文章