
乳牙龋齿是儿童最普遍、最常见的口腔疾病,我们国家5岁儿童患龋率为66%,其中97%未做治疗;12岁儿童恒牙患龋率为28.9%,其中89%未做治疗。
儿童患龋主要有三方面原因:
1、高糖、高蛋白、高能量的粘性食品;
2、刷牙方法不正确,时间不够长,次数不够多;
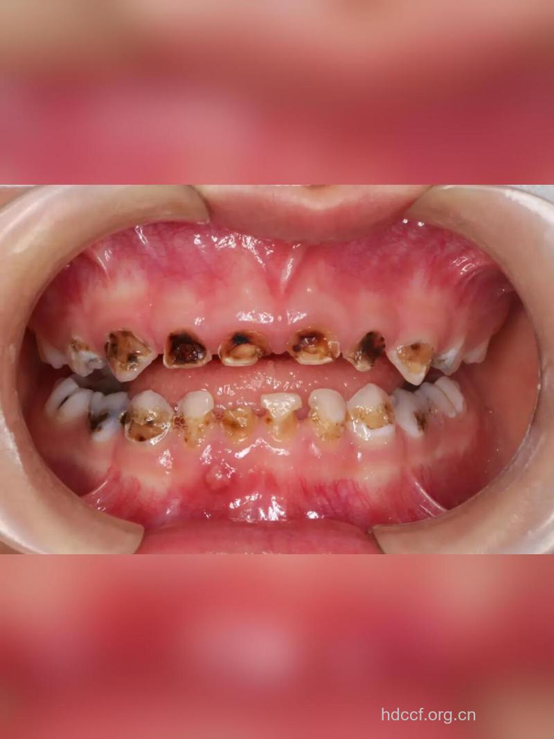
3、儿童睡眠时间长,唾液分泌少,食物残渣容易附着牙面。龋齿初期,患儿没有什么感觉,仅在牙面沟窝、牙缝处出现有黑褐色或灰白色斑块或小窝洞。髓着龋蚀进一步发展,侵蚀了牙本质,会发生冷、热、酸、甜刺激疼痛,当然绝大多数患儿可能没有任何症状。
2、注意口腔卫生,勤刷牙。爸妈要花时间与孩子交流刷牙的重要性,并掌握正确的刷牙方法,彻底刷除牙间隙、牙面上小窝中的污物,每次刷牙不少于2—3分钟。
3、可以到口腔科行安抚治疗,可以减轻疼痛症状。
4、宝宝要少吃零食,经常吃些较硬的含纤维的食物,如烤饼、蔬菜、水果,改掉偏食的坏习惯,少吃细软食物。
1、药物治疗大多用于龋坏损害面积比较广泛的浅龋或牙面呈剥脱状的环状龋,能够控制龋坏进一步发展,但是不能恢复牙齿的外形。
2、修复治疗最大的优点是能够去除病变组织、恢复牙齿的外形、提高咀嚼功能。修复牙齿缺损常用充填治疗,如应用银汞合金、复合树脂、玻璃离子等材料充填龋洞,是临床应用得比较广泛的方法。
3、嵌体治疗和冠修复治疗在修复治疗中,应用得比较少,能较好地恢复牙齿外形、恢复牙齿的正常功能,不容易继续发生龋坏。但操作复杂、成本较高、耗时较长,目前还未普及,只在一些教学医院开展。
4、间隙保持器:对于过早缺失的乳牙,为了保证将来对应恒牙萌出时有足够的位置,在儿童牙齿在早失后,做一个间隙保持器来维持这个缺失牙位的正常生理间隙,防止邻牙向丧失部位倾斜和对颌牙伸长,保证相对应恒牙的正常萌出。
1、龋齿破坏了牙齿结构,在牙面形成龋洞,容易嵌塞食物,嵌塞后会疼痛不适;儿童乳牙龋坏进一步发展成为牙髓炎、根尖周炎,疼痛剧烈,或者只剩下牙根,反复发炎,影响了儿童的咀嚼和进食,当然也会影响营养吸收和全身发育以及颌骨的发育。
2、乳牙龋坏后,如果没有及时的控制和治疗,龋坏会进一步发展,引起牙髓炎、根尖周炎。除了引起剧烈的牙痛,牙齿根尖周炎还会影响乳牙牙根的正常吸收,阻止牙齿的正常替换,甚至直接影响相应恒牙的正常发育和萌出,临床上表现为乳牙滞留、乳牙早失以及恒牙迟萌、恒牙早萌、恒牙错位萌出等错合畸形。
3、一侧发生龋齿后,由于疼痛的原因患儿不自觉地用健康侧咀嚼,久而久之,偏侧咀嚼就会影响儿童颌骨的发育,引起颞下颌关节功能紊乱;严重的会导致两侧面部不对称,影响儿童的面部美观。
4、乳牙龋坏后过早脱落缺失,邻牙向缺牙的间隙倾斜移位,同时对颌牙移位后下垂或上长,造成咬合紊乱,恒牙因为萌出位置不足而错位萌出,最终导致恒牙排列不齐。
5、乳牙残缺不全,上下牙床咬合时闭合不紧,会使孩子发音受到影响,特别在发一些需要上下牙床合紧才能发的音如zi”、ci”、si”等音时,会因为漏风而发不清楚,如果再因此受到笑话,孩子不但语言发育受限,自尊心和自信心也会受到打击,从而对心理产生不利的影响。
6、严重的龋齿,会有变形链球菌进入血液循环,甚至影响心脏、肾脏等全身器官。
1、加强锻练,合理营养增强机体抗龋能力,提高身体素质。教育儿童不要偏食,食品要尽量多样化。
2、辅食的添加应及早重视、循序渐进、由软到硬,可从四个月时开始添加,逐渐从米糊、鱼肉、蛋类过渡到五六个月时的烂粥、肉末、菜泥等,这样既可使消化系统逐渐适应,又可及时锻炼咀嚼功能、刺激牙齿萌出。到多数乳牙萌出以后,还可逐渐给孩子添加饼干、瘦肉、豆制品等较硬韧而耐咀嚼的食物,进一步促进牙齿与颌骨的发育。
3、保持口腔卫生,养成早晚刷牙、饭后漱口的习惯。乳牙长齐后,就可帮助儿童练习漱口。漱口时间选择在饭后数分钟内。从两岁半开始就要教会他们用正确方法刷牙。到五六岁时,每天早晚都要刷牙。同时还要养成餐后漱口、睡前刷牙、少吃甜食的习惯。另外,家长要经常查看儿童口腔,及时发现龋齿,立即治疗,以阻止龋齿的发展。
4、在乳牙萌出的时候,孩子常喜欢咬玩具等硬物,这时要多加小心看护,以免其乱咬硬物等锐器而损伤牙龈粘膜。
5、药物防龋:含氟牙膏防龋简单易行,可减少龋齿发生率15%—30%。含氟溶液漱口、氟离子导入法。
6、牙齿涂氟:氟化物在口腔环境中可释放氟离子,氟离子沉积釉质表面,渗入釉质内部,提高釉质的抗酸能力。此外,氟离子还有抑制菌斑生长和促进釉质再矿化的作用。
7、窝沟封闭术:窝沟封闭术是使用窝沟封闭剂严密封闭牙冠表面的窝沟,有效地保护釉质,达到预防龋病发生的一种防龋方法。